Στην ενότητα αυτή παρουσιάζονται αναλυτικά οι υπηρεσίες που παρέχονται στο ιατρείο μας.
(Επιλέξτε το είδος υπηρεσιών που σας ενδιαφέρει για μια σύντομη ενημέρωση)
|
|
Προληπτική οδοντιατρική
![]()
(Καθαρισμός - Αποτρύγωση)
Ανάλογα με τις ιδιαιτερότητες του κάθε ασθενή, επιβάλλεται έλεγχος και καθαρισμός (αποτρύγωση) των δοντιών τουλάχιστον μια φορά το χρόνο. Κατά την διαδικασία του καθαρισμού τα δόντια απαλλάσσονται από την πέτρα (τρυγία).
Εάν αμελήσουμε τον καθαρισμό, τα βακτήρια μπορεί να δημιουργήσουν στα δόντια μας τερηδόνα ή ουλίτιδα, ασθένειες οι οποίες αν αφεθούν χωρίς θεραπεία, μπορεί να δημιουργήσουν περιοδοντίτιδα που αν δεν αντιμετωπιστεί, υπάρχει κίνδυνος απώλειας των δοντιών που έχουν προσβληθεί.
[ Επιστροφή στην αρχή ]
Αισθητική οδοντιατρική
![]()
Η κλασσική οδοντιατρική επικεντρώνεται στην στοματική υγιεινή, πρόληψη, διάγνωση και θεραπεία των ασθενειών του στόματος.
Η αισθητική οδοντιατρική διατηρεί τις βασικές αρχές της κλασσικής οδοντιατρικής δίνοντας έμφαση στην αισθητική βελτίωση της εμφάνισης των δοντιών του ασθενούς, ώστε να επιτευχθεί το τέλειο χαμόγελο.
Σήμερα, οι εξελίξεις είναι ραγδαίες στον τομέα των οδοντιατρικών υλικών. Ταυτόχρονα, οι σύγχρονες αισθητικές οδοντιατρικές τεχνικές, βοηθούν να επιτύχουμε την διατήρηση των φυσικών δοντιών για όσο το δυνατό μεγαλύτερο χρονικό διάστημα.
Η αισθητική οδοντιατρική προσφέρει πολλές επιλογές, για τους ασθενείς που είναι δυσαρεστημένοι με το χαμόγελο τους.
Εμφράξεις σύνθετης ρητίνης
Είναι τα γνωστά σε όλους μας "άσπρα σφραγίσματα". Λόγω πλέον της αποδεδειγμένης αντοχής τους και της απαράμιλλης αισθητικής τους, έχουν εκτοπίσει σχεδόν τελείως τις εμφράξεις αμαγάλματος (μαύρα σφραγίσματα). Η σύνθετη ρητίνη συγκολάται στα τοιχώματα του δοντιού, ισχυροποιεί την δομή του και αυξάνει την αντοχή του.
Bonding
Το Bonding είναι μια υπηρεσία της αισθητικής οδοντιατρικής με την οποία ουσιαστικά επιτυγχάνουμε την ανασύσταση των δοντιών βελτιώνοντας το σχήμα, το χρώμα και το μέγεθός τους. Χρησιμοποιούμε ειδική σύνθετη ρητίνη σε πολλούς χρωματισμούς με σκοπό να διαφοροποιήσουμε τις παραπάνω παραμέτρους επιτυγχάνοντας εκπληκτικά αισθητικά αποτελέσματα μέσα σε μια ή δυο επισκέψεις πολύ εύκολα και ανώδυνα.
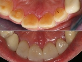
Λεύκανση δοντιών
Στο μυαλό του ανθρώπου πάντα υπάρχει ο οραματισμός του ιδανικά ωραίου χαμόγελου. Η αισθητική της στοματικής και της περιστοματικής περιοχής προσδίδει στο άτομο αυτοεκτίμηση και παίζει εξέχοντα ρόλο (κοινωνικό και ψυχολογικό) στις καθημερινές του δραστηριότητες.
Ένα ωραίο χαμόγελο εξαρτάται από το χρώμα, το σχήμα και τη θέση των δοντιών. Ένα ωραίο και φωτεινό χαμόγελο σε κάνει να αισθάνεσαι νεότερος και ομορφότερος και είναι λογικό διότι οι αισθητικοί λένε ότι το 70% της ομορφιάς του προσώπου εξαρτάται από την στοματική και την περιστοματική περιοχή.
Για την βελτίωση του χρώματος των δοντιών προτείνονται διάφοροι τρόποι επεμβατικοί ή μη επεμβατικοί. Η λευκανση των δοντιών είναι μια ελάχιστη επεμβατική λύση για την βελτίωση του χρώματος των δοντιών. Με την βοήθεια αυτής της τεχνικής δεν θίγεται η ακεραιότητα των σκληρών οδοντικών ιστών.
• Αναλυτικότερες πληροφορίες για την λεύκανση των δοντιών
Οι επεμβατικοί τρόποι αλλαγής χρώματος των δοντιών είναι οι όψεις από σύνθετη ρητίνη (Bonding), οι όψεις από πορσελάνη και οι στεφάνες (θήκες) από πορσελάνη επίσης.
Με την λεύκανση έχουμε σαν σκοπό να αντιμετωπίσουμε τις δυσχρωμίες των δοντιών. Τις δυσχρωμίες τις χωρίζουμε σε δυο μεγάλες κατηγορίες, τις ενδογενείς και τις εξωγενείς.
Η ενδογενής δυσχρωμία οφείλεται είτε σε διαταραχή της δομής ή του πάχους των οδοντικών ιστών είτε σε ενσωμάτωση χρωστικών τόσο πριν την ανατολή των δοντιών (όπως λήψη τετρακυκλίνης, φθορίαση, συγγενείς νόσοι κ.α.), όσο και μετά την ανατολή των δοντιών (όπως τραυματική πολφική αιμορραγία, νέκρωση λόγω ηλικίας κ.α.)
Η εξωγενής δυσχρωμία των δοντιών οφείλεται σε πολλούς παράγοντες όπως είναι η τερηδόνα, τροφές και ποτά, κάπνισμα, φάρμακα και αντισηπτικά στοματικά διαλύματα, οδοντιατρικά υλικά π.χ. αμάλγαμα, μικροβιακή πλάκα-τρυγία, κακή στοματική υγιεινή κ.α.
Το αποτέλεσμα της λεύκανσης εξαρτάται από διάφορες παραμέτρους. Παίζει ρόλο το χρώμα των δοντιών (η κίτρινη- πορτοκαλί χρώση έχει καλύτερη πρόγνωση από την γκρίζα), το είδος της χρώσης (εάν είναι εξωγενής έχει καλύτερη πρόγνωση από την ενδογενή), το βάθος της επέκτασης των δυσχρωμικών μορίων, η επιφάνεια της αδαμαντίνης (εάν είναι άθικτη είναι καλύτερα), οι συνήθειες του ατόμου όπως το κάπνισμα και οι διατροφικές του συνήθειες (καφές, τσάι, κόκκινο κρασί κ.α.), η καθημερινή καλή στοματική υγιεινή και πολλά άλλα.
• Λεύκανση στο σπίτι
Σε αυτή χρησιμοποιούμε συνήθως το υπεροξείδιο του καρβαμιδίου από 10% έως 30% καθώς και το υπεροξείδιο του υδρογόνου (H2O2) από 3%-9%. Για την εφαρμογή των υλικών αυτών έχουμε κατασκευάσει προηγούμενους εξατομικευμένους νάρθηκες λεύκανσης. Ο χρόνος που τα φοράει ο ασθενής μας είναι ανάλογα το υλικό που χρησιμοποιούμε και είναι από μερικά λεπτά κατά τη διάρκεια της μέρας έως και καθ'όλη τη διάρκεια της νύχτας. Η διάρκεια εφαρμογής των ναρθήκων στο σπίτι είναι από 2 έως 6 εβδομάδες.
Μετά από σωστή επιλογή του ασθενή μας συνήθως το αποτέλεσμα είναι αρκετά εντυπωσιακό. Βέβαια το ζητούμενο είναι να υπάρξει και η ανάλογη διατήρηση του αποτελέσματος γιατί τα δόντια εμφανίζουν την τάση να επανακτήσουν το αρχικό τους χρώμα. Οι τρόποι για τη διατήρηση του αποτελέσματος: σωστή καθημερινή στοματική υγιεινή, περιορισμός διάφορων συνηθειών όπως το κάπνισμα, καφές κ.α. και η χρήση λευκαντικών προϊόντων όπως λευκαντική οδοντόκρεμα.
Η λεύκανση είναι ένα ενδιαφέρον και ευχάριστο τμήμα της οδοντιατρικής επιστήμης που βοηθάει στη δημιουργία ενός ελκυστικού χαμόγελου, το οποίο έχει σημασία για την κοινωνική αποδοχή ενός ανθρώπου καθώς και για την ψυχολογία του.
Όψεις Ρητίνης
Είναι μια απλή τεχνική σχετικά χαμηλού κόστους. Το υλικό που χρησιμοποιείται είναι η σύνθετη ρητίνη, με το οποίο μπορούμε :
- - Να καλύψουμε μικρές δυσχρωμίες
- - Να ισιώσουμε ελαφρώς στραβά δόντια
- - Να τροποποιήσουμε επιλεκτικά το σχήμα, το μέγεθος και το χρώμα μεμονωμένων δοντιών
- - Να επιδιορθώσουμε γωνίες που έχουν σπάσει κατά την μάσηση ή λόγω ατυχήματος ή ακόμα και λόγω τριγμού
- - Να κλείσουμε κάποια κενά ανάμεσα στα δόντια.
Είναι μια συντηρητική λύση, απαιτεί λιγοστό χρόνο, ολοκληρώνεται συνήθως σε μια επίσκεψη στον οδοντίατρο και έχει σχετικά αναμενόμενη αντοχή.
Η διαδικασία είναι ανώδυνη. Αφού ολοκληρωθεί ο χρωματικός έλεγχος του δοντιού, εφαρμόζεται η σύνθετη ρητίνη από τον οδοντίατρο και φωτοπολυμερίζεται με ειδική συσκευή.
[ Επιστροφή στην αρχή ]
Εξακτική δοντιών
![]()
Η εξαγωγή ενός δοντιού είναι η τελευταία επιλογή ενός οδοντίατρου. Καταφεύγουμε στην εξαγωγή μόνο στην περίπτωση που έχουμε εξαντλήσει κάθε άλλη μέθοδο που θα μπορούσε να «σώσει» το δόντι και να το διατηρήσει στο στόμα του ασθενούς.
Σε περίπτωση απώλειας ενός ή περισσοτέρων δοντιών, υπάρχουν πολλοί τρόποι αποκατάστασης όπως τα εμφυτεύματα, οι γέφυρες ή οι κινητές οδοντοστοιχίες.
[ Επιστροφή στην αρχή ]
Παιδοδοντία
![]()
Χρήσιμες πληροφορίες για τα παιδικά δόντια.
Τα πρώτα δόντια του ανθρώπου, είκοσι (20) στο σύνολό τους, ονομάζονται νεογιλά δόντια και αρχίζουν να εμφανίζονται στο στόμα του παιδιού τον έκτο μήνα, μετά την γέννηση ενώ συμπληρώνονται περίπου τον εικοστό τέταρτο μήνα. Στην ηλικία των 6 -7 χρόνων αρχίζει η σταδιακή απόπτωσή τους και η αντικατάσταση από τα μόνιμα δόντια, τα οποία είναι συνολικά τριάντα δύο (32) Το τελευταίο νεογιλό δόντι πέφτει περίπου στην ηλικία των 12 ετών.
Η χρονολογική ανάπτυξη των νεογιλών δοντιών είναι :
- 6ος μήνας κεντρικοί τομείς κάτω γνάθου
- 10ος μήνας κεντρικοί τομείς άνω γνάθου
- 11ος μήνας πλάγιοι τομείς άνω γνάθου
- 13ος μήνας πλάγιοι τομείς κάτω γνάθου
- 16ος μήνας πρώτοι γομφίοι άνω και κάτω γνάθου
- 19ος μήνας κυνόδοντες άνω και κάτω γνάθου
- 27ος μήνας δεύτεροι γομφίοι κάτω γνάθου
- 30ος μήνας δεύτεροι γομφίοι άνω γνάθου
Περιπτώσεις που απαιτείται εξαγωγή νεογιλών δοντιών :
- Νεογιλά δόντια κατεστραμμένα των οποίων η θεραπεία και αποκατάσταση δεν είναι εφικτή
- Περιπτώσεις οξέων φατνιακών αποστημάτων
- Περιπτώσεις κατάγματος των ριζών μετά από τραυματισμό
- Παρατεταμένη παραμονή ενός νεογιλού δοντιού
- Παρεμπόδιση ανατολής μονίμου δοντιού
Η χρονολογική ανάπτυξη των μονίμων δοντιών είναι :
- 6ος - 7ος χρόνος κεντρικός τομέας κάτω γνάθου, πρώτος γομφίος άνω γνάθου, πρώτος γομφίος κάτω γνάθου
- 7ος - 8ος χρόνος κεντρικός τομέας άνω γνάθου, πλάγιος τομέας κάτω γνάθου
- 8ος – 9ος χρόνος πλάγιος τομέας άνω γνάθου
- 10ος – 11ος χρόνος πρώτος προγόμφιος άνω γνάθου
- 10ος – 12ος χρόνος κυνόδοντας κάτω γνάθου, πρώτος προγόμφιος κάτω γνάθου, δεύτερος προγόμφιος άνω γνάθου
- 11ος – 12ος χρόνος κυνόδοντας άνω γνάθου, δεύτερος προγόμφιος κάτω γνάθου
- 12ος – 13ος χρόνος δεύτερος γομφίος άνω γνάθου, δεύτερος γομφίος κάτω γνάθου
- 17ος – 21ος χρόνος τρίτος γομφίος άνω γνάθου, τρίτος γομφίος κάτω γνάθου
ΠΡΟΛΗΠΤΙΚΕΣ ΕΜΦΡΑΞΕΙΣ :
Οι προληπτικές εμφράξεις ή Sealants είναι μία μέθοδος για να καταπολεμήσουμε τον τερηδονισμό των δοντιών. Πιο συγκεκριμένα, η μασητική επιφάνεια ενός δοντιού καλύπτεται με ειδική σύνθετη ρητίνη για να προστατευθούν ορισμένα δόντια που είναι επιρρεπή σε τερηδόνα.
Εφαρμόζεται σε :
● παιδιά 6-8 ετών για να προστατεύσουμε τους πρώτους μόνιμους γομφίους που μόλις ανέτειλαν ● σε περιπτώσεις πίσω δοντιών με βαθιές αύλακες ● σε άτομα με ειδικές ανάγκες που δεν τους επιτρέπει να εφαρμόσουν σωστή στοματική υγιεινή ● σε ορισμένες περιπτώσεις αρχόμενης τερηδόνας.
Η όλη διαδικασία είναι εντελώς ανώδυνη, απαιτεί λιγοστό χρόνο και δεν χρειάζεται καθόλου τρόχισμα του δοντιού. Η διάρκεια των εμφράξεων έχουν χρόνο ζωής μέχρι πέντε χρόνια και σίγουρα χρειάζονται επανέλεγχο μία φορά το χρόνο για να διαπιστώνεται η κατάστασή τους
ΦΘΟΡΙΩΣΗ :
Το φθόριο βοηθά στην αύξηση αντοχής των δοντιών στην τερηδόνα και χρησιμοποιείται για την πρόληψη και μείωση της τερηδόνας στα παιδικά δόντια από τον Οδοντίατρο. Άλλες πηγές πρόσληψης φθορίου είναι :
● Μέσω του πόσιμου νερού ● Μέσω του αλατιού ● Μέσω του γάλακτος ● Μέσω της ζάχαρης ● Μέσω της οδοντόκρεμας με φθόριο ● Μέσω των στοματικών διαλυμάτων που περιέχουν φθόριο ● Μέσω των ειδικών δισκίων ή σταγόνων κ.α.
Η φθορίωση ενδείκνυται αμέσως μετά την ανατολή του πρώτου μόνιμου δοντιού στην γνάθο, δηλαδή σε ηλικία 6 - 15 ετών. Η διαδικασία είναι πολύ απλή, ανώδυνη και ακίνδυνη. Χρησιμοποιούμε αποστειρωμένα πλαστικά δισκάρια με ειδικό gel φθορίωσης για την άνω και κάτω γνάθο αντίστοιχα για 1 λεπτό.
[ Επιστροφή στην αρχή ]
Εμφράξεις (Σφραγίσματα)
![]()
"Λευκό" Σφράγισμα
Η συνθετική ρητίνη (λευκό σφράγισμα δοντιού) είναι ένα πολυμερές υλικό το οποίο μπορεί να κολλήσει στον οδοντικό ιστό και να αντικαταστήσει ένα τμήμα του δοντιού που λείπει.
Με τα λευκά σφραγίσματα μπορούμε :
- να αντικαταστήσουμε τα μαύρα σφραγίσματα με αισθητικά λευκά σφραγίσματα
- να κλείσουμε κενά ανάμεσα στα δόντια που δημιουργούν ερεθισμό στα ούλα
- να συμπληρώσουμε λευκό σφράγισμα σε κίτρινες περιοχές που έχουν φθορά (όπως για παράδειγμα κοπτικές επιφάνειες των δοντιών της κάτω γνάθου)
- να καλύψουμε αυχενικά με λευκό σφράγισμα τα δόντια που έχουν ευαισθησία
- να αντικαταστήσουμε τα παλιά λευκά σφραγίσματα που έχουν απορροφήσει χρωστικές
Τα σφραγίσματα ρητίνης έχουν ως πλεονέκτημα :
- την υψηλή αισθητική, καθώς δεν ξεχωρίζουν από το φυσικό δόντι
- την επιδιόρθωση γωνίας που έχει σπάσει κατά την μάσηση ή λόγω ατυχήματος ή ακόμα και λόγω τριγμού
- απαιτούν λιγοστό χρόνο
- ολοκληρώνονται σε μια μόνο επίσκεψη στον οδοντίατρο
- έχουν άριστη αναμενόμενη αντοχή
- το ίδιο υλικό χρησιμοποιείται και για την βελτίωση της όψης των μπροστινών δοντιών (bonding)
[ Επιστροφή στην αρχή ]
Εμφυτεύματα
![]()
Το οδοντικό εμφύτευμα ή απλά βιδωτό δόντι, είναι μια τεχνητή ρίζα δοντιού που τοποθετείται μέσα στο οστό της γνάθου, πάνω στο οποίο μπορεί να στηριχθεί ένα ή περισσότερα τεχνητά δόντια. Τα σύγχρονα υλικά από τα οποία αποτελούνται τα οδοντικά εμφυτεύματα (τιτάνιο) αλλά και οι τεχνικές τοποθέτησής τους σημειώνουν ραγδαία εξέλιξη, ώστε τα ποσοστά επιτυχίας τους να κυμαίνονται σε πολύ υψηλά επίπεδα.
Πλεονεκτήματα :
● Άψογη αισθητική ● Ασφαλής λύση ● Δεν περιορίζεται η διάρκεια ζωής των παρακειμένων δοντιών ● Απαλλαγή από ενοχλητικούς τριγμούς ή παραμόρφωση της φωνής ● Άνετη και σταθερή αποκατάσταση των δοντιών ● Ποσοστό επιτυχίας στατιστικά υψηλό ● Άριστη εναλλακτική λύση για την αντικατάσταση των δοντιών ● Από επιστημονική άποψη, μακροβιότερη και περισσότερο αξιόπιστη λύση ● Δεν απαιτείται να τροχιστούν υγιή δόντια ώστε να τοποθετηθεί γέφυρα ● Ακίνδυνο για την γενική υγεία του ασθενούς ● Είναι κατασκευασμένα από τιτάνιο, υλικό αντιαλλεργικό και βιοσυμβατό με τον οργανισμό ● Αποφυγή τοποθέτησης κινητής οδοντοστοιχίας (μασέλας)
Τεκμηριωμένες επιστημονικές μελέτες δείχνουν πως τα οδοντικά εμφυτεύματα παραμένουν επιτυχημένα ακόμη και μετά από 30 χρόνια χρήσης με ποσοστό επιβίωσης των προσθετικών εργασιών που στηρίζουν πάνω από 95% στα 10 χρόνια
Μειονεκτήματα :
● Διάρκεια θεραπείας : περίπου 2-3 μήνες ● Δεν είναι όλοι οι ασθενείς κατάλληλοι για τοποθέτηση εμφυτεύματος ● Σφίξιμο των δοντιών ● Το κόστος θεραπείας είναι σχετικά υψηλό
Ενδείκνυται :
● Σε άτομα με καλή υγεία του οργανισμού και του στόματος ● Όταν υπάρχει επάρκεια οστού στις γνάθους για την στήριξη των εμφυτευμάτων ● Όταν δεν υπάρχουν προβλήματα στο περιοδόντιο ● Ως προσθήκη δοντιών σε νωδά άτομα (χωρίς δόντια) ● Ως προσθήκη ενός η περισσότερων δοντιών που λείπουν, χωρίς να χρειαστεί να τροχιστούν τα γειτονικά τους δόντια με σκοπό να τοποθετηθεί οδοντική στεφάνη
Διαδικασία :
● Τα εμφυτεύματα τοποθετούνται με τοπική αναισθησία συνήθως στο οδοντιατρείο με μια τεχνική ακριβείας που διασφαλίζει την σωστή τους θέση στο χώρο ● Συνήθως καλύπτονται με τα ούλα και παραμένουν στην γνάθο από 2-4 μήνες για να ενωθούν με το οστό που το περιβάλει Στο διάστημα αυτό οι ασθενείς μας χρησιμοποιούν προσωρινές γέφυρες ή οδοντοστοιχίες (προαιρετικά) ώστε να μπορούν να λειτουργούν ικανοποιητικά ● Μετά την πάροδο της περιόδου αναμονής τα εμφυτεύματα αποκαλύπτονται και αρχίζει η κατασκευή της προσθετικής εργασίας που θα στηρίζουν
[ Επιστροφή στην αρχή ]
Προσθετική
![]()
Στεφάνες - Γέφυρες
Στεφάνη είναι ένα κάλυμμα κατασκευασμένο είτε εξ ολοκλήρου από πορσελάνη είτε από μεταλλικό σκελετό εσωτερικά και πορσελάνη εξωτερικά. Καλύπτει ολόκληρο το δόντι (αφού προηγουμένως τροχιστεί) και το προστατεύει από ενδεχόμενα σπασίματα. Με την στεφάνη μπορούμε να αλλάξουμε το χρώμα, το σχήμα και το μέγεθος του δοντιού με μεγάλη επιτυχία.
Σε περίπτωση που λείπουν ένα ή περισσότερα δόντια και δεν υπάρχει η δυνατότητα να τοποθετηθούν εμφυτεύματα, τότε επιλέγουμε τη λύση της γέφυρας. Τροχίζοντας τα παρακείμενα δόντια κατασκευάζεται μια ενιαία γέφυρα που καλύπτει το κενό (από τα δόντια που λείπουν) στηριζόμενη στα ήδη τροχισμένα δόντια.
Τα σύγχρονα ολοκεραμικά συστήματα όπως η γέφυρα από Ζιρκόνιο είναι πολύ υψηλής αντοχής στη θραύση και ασυναγώνιστης αισθητικής. Τα ολοκεραμικά συστήματα είναι η απόλυτη επιλογή για την αποκατάσταση πρόσθιων δοντιών ή σε περιπτώσεις υψηλών απαιτήσεων σε αισθητική.
Ολοκεραμικές στεφάνες
Οι ολοκεραμικές στεφάνες, ή αλλιώς ολοκεραμικές θήκες, είναι κατασκευασμένες από έναν πορσελάνινο σκελετό που καλύπτεται με ειδικό κεραμικό υλικό. Η απουσία μεταλλικού σκελετού χαρίζει άψογη αισθητική απόδοση και φυσικότητα σε αυτές τις αποκαταστάσεις, οι οποίες μπορούν πλέον να μιμηθούν την διαφάνεια και τον ιριδισμό του φυσικού δοντιού.
Τα πλεονεκτήματα τους είναι τα άψογα αισθητικά αποτελέσματα και η καλή αντοχή στον χρόνο.
Τα μειονεκτήματα τους είναι το υψηλό κόστος και η μειωμένη αντοχή συγκρινόμενη με άλλα είδη στεφανών.
Η λύση των ολοκεραμικών δεν ενδείκνυται όταν ο ασθενής ασκεί έντονες μασητικές πιέσεις και τρίξιμο ή σφίξιμο των δοντιών ή όταν υπάρχουν συγκλεισιακά προβλήματα
Στεφάνες ζιρκονίου
Η ζιρκονία είναι ένα καινοτόμο σύστημα για την αισθητική προσθετική αποκατάσταση χωρίς μεταλλικό σκελετό. Το υλικό αυτό παράγεται με την βοήθεια της πλέον σύγχρονης τεχνολογίας υπολογιστώμ (CAD/CAM).
Τα πλεονεκτήματα τους είναι :
• Η ιδιότητα του να είναι φωτοδιαπερατό εξασφαλίζει άψογα αισθητικά αποτελέσματα • Μηχανική αντοχή • Βιοσυμβατότητα (απουσία αλλεργικών αντιδράσεων) • Υψηλή αντοχή στην διάβρωση • Είναι το πιο ισχυρό και σκληρό υλικό • Αποκλείει τις δυσάρεστες ευαισθησίες (ζεστό, κρύο).
Ως μοναδικό μειονέκτημα θεωρείται το υψηλό κόστος.
Κινητές οδοντοστοιχίες
Η μερική οδοντοστοιχία χρησιμοποιείται όταν σε μια γνάθο λείπουν αρκετά δόντια και δεν μπορούμε να αποκαταστήσουμε τα κενά χρησιμοποιώντας είτε γέφυρες πορσελάνης είτε εμφυτεύματα. Είναι κατασκευή που στηρίζεται στα εναπομείναντα δόντια με διάφορους τρόπους όπως σύνδεσμοι ακριβείας κ.α και η οποία αφαιρείται από το στόμα και καθαρίζεται καθημερινά από τον ασθενή.
Η ολική οδοντοστοιχία χρησιμοποιείται όταν σε μια γνάθο λείπουν όλα τα δόντια. Είναι μια κινητή κατασκευή που αντικαθιστά όλα τα δόντια και χρησιμοποιείται όταν δεν μπορεί να γίνει ακίνητη προσθετική αποκατάσταση επάνω σε εμφυτεύματα. Παρόλα αυτά σε μερικές περιπτώσεις μπορούν να τοποθετηθούν 2 ή 4 εμφυτεύματα κάτω από την ολική οδοντοστοιχία καθιστώντας την πραγματικά σχεδόν ακίνητη χρησιμοποιώντας συνδέσμους ακριβείας.
[ Επιστροφή στην αρχή ]
Ενδοδοντία
![]()
(Ενδοδοντική θεραπεία)
Όταν η βλάβη έχει προχωρήσει σε βαθύτερα στρώματα του δοντιού και τα βακτήρια έχουν προσβάλλει τα αγγεία και τα νεύρα του πολφού, τότε ο οδοντίατρος πρέπει να προχωρήσει σε ενδοδοντική θεραπεία (απονεύρωση) του δοντιού.
Κατά την ενδοδοντική θεραπεία (απονεύρωση), ο οδοντίατρος πραγματοποιεί διάνοιξη της πολφικής κοιλότητας, διεύρυνση και πολύ καλό καθαρισμό των ριζικών σωλήνων με ειδικά μικροεργαλία και υγρά διακλυσμών και στο τέλος κλείνει τους ριζικούς σωλήνες με γουταπέρκα. Η διαδικασία της ενδοδοντικής θεραπείας (απονεύρωσης) συνήθως ολοκληρώνεται σε 2-3 επισκέψεις εκτός κάποιων περιπτώσεων που χρειάζονται θεραπεία μεγαλύτερης διάρκειας.
Τα ενδοδοντικά θεραπευόμενα δόντια, μετά από μικρό χρονικό διάστημα, πρέπει απαραιτήτως να καλυφθούν από στεφάνες για να μην σπάσουν.
[ Επιστροφή στην αρχή ]
Περιοδοντολογία
![]()
Περιοδοντίτιδα είναι μια φλεγμονή των ιστών που περιβάλλουν και στηρίζουν τα δόντια. Η φλεγμονή αυτή γίνεται αιτία για αποκόλληση των ούλων από τα δόντια και καταστροφή του οστού που στηρίζει τις ρίζες των δοντιών. Εαν δεν αντιμετωπιστεί άμεσα, τα δόντια παρουσιάζουν έντονη κινητικότητα και τελικά χάνονται. Η περιοδοντίτιδα θεωρείται η πιο συνηθισμένη αιτία απώλειας δοντιών στους ενήλικες. Η περιοδοντική νόσος συνήθως ανιχνεύεται από τον Οδοντίατρο σε πρώιμο στάδιο ή από τον ασθενή σε πολύ προχωρημένο στάδιο.
Tα συμπτώματα της περιοδοντικής νόσου είναι τα ακόλουθα:
- Αιμορραγία των ούλων
- Κόκκινα, πρησμένα ή ευαίσθητα ούλα
- Ούλα που έχουν αποκολληθεί από το δόντι
- Ούλα πού έχουν υποχωρήσει (υφίζηση ούλων)
- Επίμονη δυσοσμία
- Πύον ανάμεσα στο δόντι και τα ούλα
- Κινητικότητα δοντιών (άλλοτε μικρή και άλλοτε μεγάλη)
Θεραπεία :
ΣΥΝΤΗΡΗΤΙΚΗ ΘΕΡΑΠΕΙΑ
Με τοπική αναισθησία καθαρίζεται η πέτρα από τη ρίζα. Ο ασθενής δεν νιώθει πόνο, ούτε κατά την διάρκεια της διαδικασίας ούτε μετά.
Το μειονέκτημα είναι ότι τα προϊόντα των μικροβίων μένουν και η καταστροφή συνεχίζεται με πιο αργό ρυθμό. Συνήθως απαιτούνται 4 - 6 επισκέψεις. Δίνονται οδηγίες στοματικής υγιεινής στον ασθενή (σωστός τρόπος βουρτσίσματος δοντιών στοματικό διάλυμα ή gel, μεσοδόντια βουρτσάκια). Σε ορισμένες περιπτώσεις, για την αναγέννηση του ούλου, μπορούν να τοποθετηθούν μέσα στους θυλάκους ειδικά αντιβιοτικά σκευάσματα βραδείας απελευθέρωσης, που βοηθούν στην καταπολέμηση των παθογόνων μικροβιακών στελεχών των περιοδοντικών θυλάκων. Ο ιδανικός χρόνος για την αξιολόγηση των αποτελεσμάτων της συντηρητικής περιοδοντικής θεραπείας είναι 3 μήνες.
ΧΕΙΡΟΥΡΓΙΚΗ ΘΕΡΑΠΕΙΑ
Τα ούλα ανοίγονται και καθαρίζονται και συρράπτονται. Τα πλεονεκτήματα της χειρουργικής αντιμετώπισης είναι η αναγέννηση χαμένων περιοδοντικών ιστών, μείωση περιοδοντικών θυλάκων.
Τα μειονεκτήματα είναι ότι ασθενής νιώθει πόνο μετά την επέμβαση και παρουσιάζονται ευαισθησίες στα δόντια, στο κρύο και το ζεστό μετά την επέμβαση και μέχρι την επούλωση.
[ Επιστροφή στην αρχή ]
Νάρθηκας Βρυγμού
![]()
Μεγάλο ποσοστό του πληθυσμού πάσχει από βρουξισμό και συχνά οι ασθενείς δεν το αντιλαμβάνονται. Βρουξισμός είναι η ακούσια αποτριβή ή σφίξιμο των δοντιών που συνδέεται με δυναμικές πλευρικές κινήσεις των σιαγόνων. Συνηθέστερη αιτία είναι o θυμός, η ένταση, το στρες ή απογοήτευση, διαταραχές ύπνου, δόντια που λείπουν ή δόντια που είναι στραβά. Εντοπίζεται συνήθως κατά την διάρκεια της νύχτας.
Ο νάρθηκας βρυγμού βοηθά στην :
- διακοπή της αποτριβής των δοντιών
- βελτίωση της αναπνοής
- ανακούφιση από πόνους στον λαιμό και στους ώμους
- μείωση των πονοκεφάλων
- μείωση της δυσφορίας κατά την διάρκεια του ύπνου
- μείωση του στρες στις αρθρώσεις γνάθου
- προστασία των φυσικών δοντιών και των οδοντιατρικών εργασιών από βλάβες που προκαλούνται από τον τρίξιμο των δοντιών
- μείωση αποτριβών, καταγμάτων, αλλά και την υπερβολική φθορά των δοντιών
- ενδεχόμενη μείωση του ροχαλητού
[ Επιστροφή στην αρχή ]

